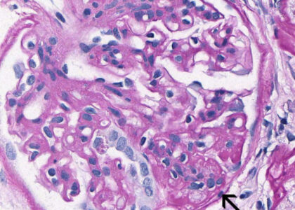
Lupus Nephritis Treatment Market Achieves a US$ 5.67 Billion Valuation by 2033
With a CAGR of 11% from 2023 to 2033, the lupus nephritis treatments market is
With a CAGR of 11% from 2023 to 2033, the lupus nephritis treatments market is
The global specialty silica market is poised for robust growth, with a projected Compound Annual
The reference designs market is expected to be valued at US$24.6 billion in 2023. The
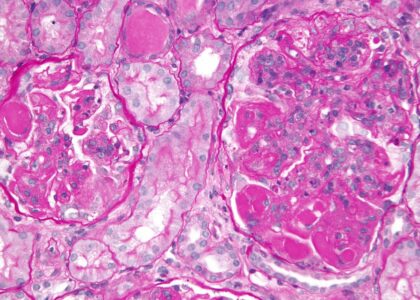
The global Focal Segmental Glomerulosclerosis (FSGS) Therapeutics Market is expected to generate a market value of US$
The Dishwashing Parts and Accessories Market report, authored by Future Market Insights—an ESOMAR Certified Market Research and
The global security cameras (IR illuminator) market is expected to reach a value of approximately US$
The cake base discs market is projected to exhibit a stable compound annual growth rate
The global Developmental and Epileptic Encephalopathies (DEE) Treatment Market is expected to generate a market value of
With a CAGR of 7% from 2023 to 2033, the global Cardiogenic Shock Treatment Market
The global organic salad dressing market size is expected to reach US$ 2,638.42 Million by 2030 According to